时间:2026-04-10 | 浏览:12 | 来源:巴中市恩阳区人民医院
持续的声音嘶哑不仅影响日常交流,更可能是声带病变的“警报”。近日,一名因持续性声音嘶哑长达三月的患者,在区人民医院眼耳鼻咽喉头颈外科通过门诊内镜下微创技术,成功接受了声带息肉切除手术。术后患者声音质量恢复良好,实现了“即治即走、微创高效”的就医新体验。
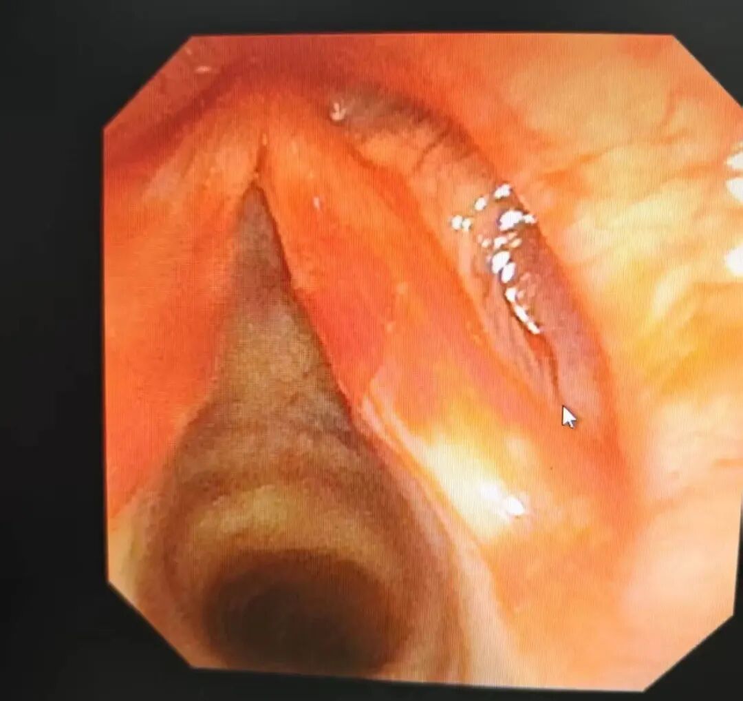
该患者三个月前无明显诱因出现声音嘶哑,症状持续加重,严重影响正常说话与工作生活。遂来我院就诊,王怀体主任接诊后,详细询问病史并为其进行了电子喉镜下的精细检查。镜下清晰显示患者一侧声带上长有一枚息肉样新生物。 传统声带息肉切除术往往需要住院并在全身麻醉下进行,手术周期长、费用较高,且部分患者对全麻存在顾虑。为最大限度减轻患者痛苦与经济负担,王怀体主任经过充分评估,决定采用最新的门诊内镜下治疗技术,为患者实施局部麻醉下的“门诊内镜下声带息肉切除术”。 王怀体主任凭借丰富的操作经验和精湛的内镜技巧,在清晰放大的内镜视野下,精准定位息肉位置,运用显微器械完整、无残留地切除了病灶。整个手术过程创伤极小、几乎无出血,患者意识清醒,配合良好,无明显不适。 “做完手术,我的声音立刻就感觉清爽多了!” 术后即刻复查电子喉镜显示声带表面光滑,息肉完全消失,双侧声带活动及闭合功能显著改善。患者的声音嘶哑症状得到了立竿见影的缓解,术后观察短时无特殊异常,便轻松离院。 王怀体主任介绍,声带息肉是喉科常见良性病变,长期用声过度、发声不当或慢性刺激是其主因。门诊内镜下声带息肉切除术是我院近期重点引进推广的微创技术,具有以下显著优势: 一是无需住院,在门诊完成,患者术后即可回家,节省时间与费用; 二是无需全身麻醉,局部麻醉下操作,规避全麻风险,尤其适合高龄或基础疾病患者; 三是精准微创,高清内镜提供放大视野,切除精准,最大限度保护正常声带组织; 四是恢复迅速,术后声音改善明显,并发症少,患者体验佳。 此次手术的成功实施,标志着我院眼耳鼻咽喉头颈外科在喉部微创诊疗领域再上新台阶,也为广大受声带息肉、声带小结、喉部良性病变困扰的患者提供了更便捷、安全、高效的门诊治疗新选择。
温馨提示:
若声音嘶哑持续超过两周不见好转,尤其对于教师、歌手、销售人员等用声职业人群,应及时到正规医院耳鼻喉科进行电子喉镜检查,早发现、早诊断、早干预,切勿自行服药或忽视拖延,以免小病变“哑”成大问题。