新闻中心
您现在所在位置: 首页 > 新闻中心 > 医院新闻
【新技术】区内首例——妇产科联合介入手术室成功救治瘢痕妊娠患者

时间:2024-12-22 | 浏览:4019 | 来源:巴中市恩阳区人民医院

近日,妇产科收治了一名特殊的患者,35岁的杨女士既往有三次剖宫产手术史,此次因“停经30+天自测尿妊娠试验阳性,1天前无明显诱因出现阴道少量褐色分泌物”到我院就诊,彩超结果显示:切口妊娠(II型),盆腔少量积液,于子宫切口瘢痕处査见大小约3.3x1.7cm的孕囊回声并可见原始心管搏动,经门诊医生评估后以“剖宫产瘢痕妊娠”收入妇产科住院治疗。

剖宫产瘢痕妊娠(CSP):是一种比较危重的妇产科疾病,指妊娠胚胎种植于前次剖宫产瘢痕缺陷部位,由于蜕膜发育不良或缺损,滋养细胞可直接侵入此处的子宫肌层,然后不断生长,绒毛与子宫肌层粘连植入,甚至穿透子宫肌层,由于此处缺乏肌纤维,加之有手术瘢痕则不能有效止血而发生难以控制的大出血,严重者需切除子宫,甚至危及患者生命,所以明确诊断后需临床积极处理。

妇产科主任杨雪及其团队向患者及家属详细沟通了病情,并邀请四川省人民医院对口支援专家曹磊医生进行会诊。经过专家团队讨论,考虑到介入对于出血动脉栓塞,可以达到及时止血的效果,本着将患者的医疗损伤降到最低的原则,建议为患者先进行介入下子宫动脉栓塞术,再进行宫腔镜手术对瘢痕妊娠物进行彻底清除,这样既可以减少术中出血,又不影响患者生理功能。

图片

随后,妇产科与介入手术室密切配合为患者在局麻下进行了子宫动脉栓塞术,介入手术过程顺利,术后患者状态良好,生命体征平稳。1天后,妇产科在全麻下为患者进行了宫腔镜下剖宫产瘢痕妊娠清除术,手术顺利,术中出血仅50ml。目前,患者在妇产科医护团队的精心治疗和护理下,已康复出院。

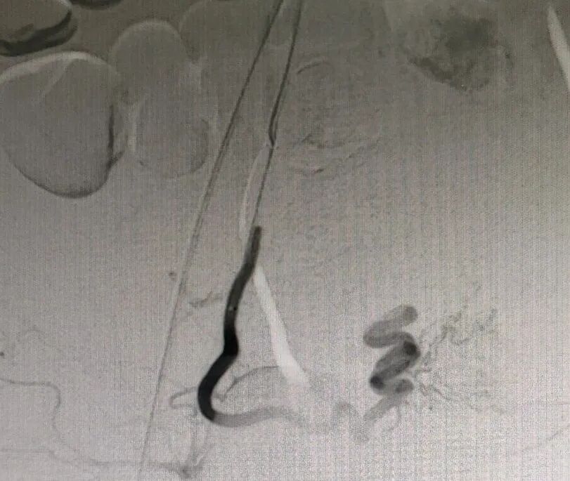
    术前栓塞前影像                         

图片   图片

         术后影像 

图片   图片


  宫腔镜术前影像  

图片

 宫腔镜术后影像 


恩阳区人民医院妇产科作为恩阳区危重孕产妇救治中心,多年来,始终承担着区域危急重症孕产妇的救治工作,一次次的化险为夷,一次次的转危为安,离不开医护人员的精湛医术和精准判断。未来,恩阳区人民医院妇产科将充分发挥区级危重孕产妇救治中心示范引领作用,通过规范标准、强化培训、严格考核,坚决守护孕产妇安全底线。